Can You Wear a Mouthguard With Braces? Protection for Athletes (2026)

Medically reviewed by Dr. Boris Pinhasov, DDS – American Board of Orthodontics Diplomate | 20+ Years Experience | Last Updated: March 2026 Yes, you can and should wear a mouthguard with braces. In fact, wearing a mouthguard is even more important when you have braces because the brackets and wires can cause serious cuts to […]
Can I Get Invisalign If I Had Braces Before?

Reviewed by Dr. Boris Pinhasov, DDS – ABO Board-Certified Orthodontist | 20+ Years Experience | Last Updated: March 2026 Yes, you can get Invisalign if you had braces before. Many adults who wore braces as teenagers find that their teeth have shifted over the years, and Invisalign is an excellent option for straightening them again. […]
Can Braces Damage Your Teeth? Safety Facts From an Orthodontist

Medically reviewed by Dr. Boris Pinhasov, DDS – American Board of Orthodontics Diplomate | 20+ Years Experience | Last Updated: March 2026 No, braces do not damage your teeth. When properly applied by a qualified orthodontist and cared for correctly during treatment, braces are completely safe for your teeth and enamel. Millions of patients complete […]
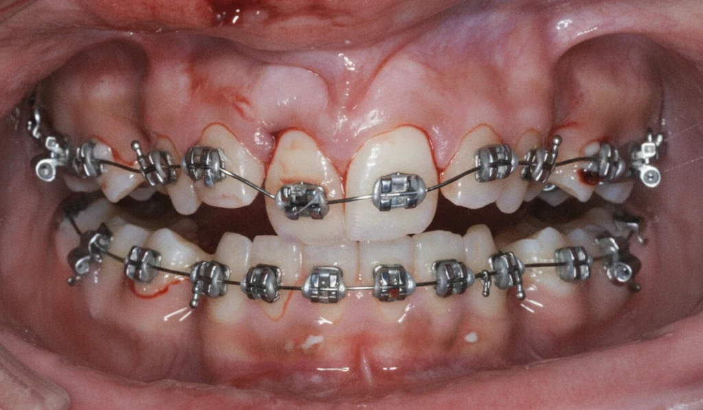
Can You Get Braces With Fillings? What You Need to Know (2026)

Medically reviewed by Dr. Boris Pinhasov, DDS – American Board of Orthodontics Diplomate | 20+ Years Experience | Last Updated: March 2026 Yes, you can get braces if you have fillings. Dental fillings are extremely common and almost never prevent orthodontic treatment. Whether you have one filling or several, your orthodontist can work around them […]
Can You Get Braces With Baby Teeth? Early Orthodontics Guide (2026)

Medically reviewed by Dr. Boris Pinhasov, DDS – American Board of Orthodontics Diplomate | 20+ Years Experience | Last Updated: March 2026 Yes, children can get braces while they still have baby teeth. This type of early treatment, called Phase 1 or interceptive orthodontics, addresses developing problems before all permanent teeth come in. Not every […]
Can Braces Fix Your Jawline? How Orthodontics Changes Your Face (2026)

Medically reviewed by Dr. Boris Pinhasov, DDS – American Board of Orthodontics Diplomate | 20+ Years Experience | Last Updated: March 2026 Yes, braces can improve your jawline by correcting bite problems that affect your facial profile. When braces fix an overbite, underbite, or other alignment issues, the position of your jaw shifts, which can […]
Can Braces Damage Your Teeth? Safety Facts From an Orthodontist (2026)

Medically reviewed by Dr. Boris Pinhasov, DDS – American Board of Orthodontics Diplomate | 20+ Years Experience | Last Updated: March 2026 No, braces do not damage your teeth. When properly applied by a qualified orthodontist and cared for correctly during treatment, braces are completely safe for your teeth and enamel. Millions of patients complete […]
How Much Does Invisalign Cost in Queens, NY?

Medically reviewed by Dr. Boris Pinhasov, DDS – American Board of Orthodontics Diplomate | 20+ Years Experience | Last Updated: March 2026 Invisalign typically costs between $3,000 and $7,000, with most patients paying around $5,000 for treatment. The exact price depends on your specific case, how long treatment takes, and your orthodontist’s experience. At BP […]
How Old Do You Have to Be to Get Braces? Age Guide for Parents (2026)

Medically reviewed by Dr. Boris Pinhasov, DDS – American Board of Orthodontics Diplomate | 20+ Years Experience | Last Updated: March 2026 Children can get braces as early as age 7 for early intervention, but most kids get full braces between ages 9 and 14. There is no maximum age for braces. Adults of any […]
How Long Does Invisalign Take? Treatment Timeline

Medically reviewed by Dr. Boris Pinhasov, DDS – American Board of Orthodontics Diplomate | 20+ Years Experience | Last Updated: March 2026 Invisalign takes 12 to 18 months on average, though treatment can range from 6 months for minor cases to 24 months or more for complex corrections. Your exact timeline depends on what needs […]